Aika lailla tasan vuosi sitten meillä Mörri aloitti kolmitassuisen elämänvaiheensa. Kannattiko amputaatio?
Mörrin amputaatio
Kolmijalka ulkoilee
Eilen oli ihanan aurinkoinen päivä, joten päätettiin kokeilla, miten Mörrillä pysyy valjaat päällä. Mörrihän on jo useamman kerran ilmaissut (valjaiden kilahtaessa) että olisi ihan valmis lähtemään jo pihalle käymään, mutta itsellä ei ole ehkä rohkeus riittänyt.
Miljoonan mutkan kissa
Meillä kävi tänään kissahieroja! Kyllä, luit oikein. Sydäntassun hierojaksi valmistuva Mari kävi meillä tänään hieromassa. Hän siis valmistuu varsinaisesti koirahierojaksi ja koirahierojana alkaa tehdä hommia, mutta hieroo myös kissoja (kissojen ehdoilla). Bongasin eräästä Facebookin maine coon -ryhmästä suositukset, kun erään vanhempi kissaherra oli aiemmin ollut hierottavana.
Toipumista
Täällä meillä on totuttu kolmijalkaiseen Mörriin hienosti. Kissat eivät enää noteeraa jalan puuttumista ja Mörri itse kulkee todella näppärästi ilman neljättä tassuaan. Toipuminen on siis periaatteessa hyvässä mallissa.
Etujalan amputaatio
Päivä leikkauksesta, ja meillä on jo hyvät fiilikset. Mörri ponkaisi itse sängylle jo eilen illalla ennen kuin ehdin estää, ja muutenkin kävelee yllättävän itsevarmasti (joskin vähän välillä on kuonollaan). Hän on pirteä ja oma itsensä, mikä on ihan.. järjettömän hienoa. Varauduin henkisesti aivan toisenlaiseen kissaan ja tämä päivä onkin nyt mennyt lähes kokonaan nyyhkiessä (onnesta). … Read more
Tripawd
Leikkaus meni hyvin. Itseasiassa koko prosessi on mennyt paremmin kuin olen odottanut!
Tänään jätettiin kissa noin puoli kymmenen aikaan klinikalle, jossa se otettiin heti sisään. Lähdin kotiin vähän itkua nieleskellen, tuntui hirveältä ajatella että jos Mörri saisi komplikaatioita leikkauksessa tai muuten, niin en pystyisi edes hyvästejä sanomaan. No, kaikkihan meni hyvin. Mutta eihän sitä ikinä voi tietää.
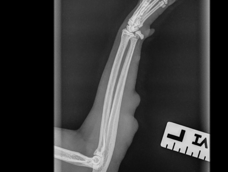
Patti-saga osa 2
Niin, eli patti tosiaan tuli takaisin. Tänään käytiin Mörrin kanssa lääkärillä. Lääkärinä toimi Evidensia Nekalan Virpi Arminen, joka on ihan huipputyyppi ja varsinkin kirurgina todella loistava. Hän teki Mörrin ensimmäisenkin kasvaimen poisto-operaation ja PESUn eläinten kanssa ollaan käytetty hänen palveluitaan paljon. Kasvain on kasvanut etujalan lihakseen pituudelta kiinni. Jalasta otettiin röntgenkuvat, joissa selvisi että luihin … Read more
Asioita, joita en olisi osannut ajatella hankkiessani kissanpennun
Meillä on Mörrin kanssa aika erityinen suhde. Se pieni, sähisevä, musta luimiva pentu kuljetuskopassa, jonka otin Neffille kaveriksi.. En olisi ikinä ajatellut, millainen siitä kehittyisi. Puskeva, pussaava, rakkauspallo. Kehruutyttö. Reipas pieni ulkoilija.